Advanced Dental Care Mosman is your local family and cosmetic dentist in Mosman, NSW. We bring over 20 years of experience in general, preventive, and advanced cosmetic dentistry.
Advanced Dental Care Mosman
Dr Priya Shanmugalingam has over 20 years of experience in general and cosmetic dentistry. At Advanced Dental Care Mosman, she provides personalised treatment for families and individuals, focusing on lasting oral health.
As a qualified cosmetic dentist in Mosman, she offers a 30-minute Smile Makeover Consultation to discuss options like veneers, teeth whitening, and clear aligners.
Dr Priya has extensive experience in complex dental treatments, surgical procedures, and restorative care. She has performed more than 1,000 wisdom tooth extractions and continues to focus on precise and comfortable treatments.
She has completed advanced training through the Brener Implant Institute, the California Implant Institute’s All-on-4 externship, FastBraces, and Progressive Orthodontic Seminars. She is a certified provider for Invisalign, Spark, and ClearCorrect aligners.
Dr Priya is a Fellow of the International Congress of Oral Implantologists and a member of the Australian Dental Association and the Australian Society of Implant Dentistry. She also teaches at the School of Dentistry and Medical Science at Charles Sturt University.
OUR DENTAL SERVICES
Restore missing or damaged teeth with high-quality dental implants and implant-supported restorations. We also perform surgical extractions, including wisdom teeth, with precision and care.
Keep your teeth healthy with regular check-ups, cleans, and early detection of dental issues. Our expert dentist in Mosman provides fillings, crowns, gum disease treatment, and wisdom tooth removal to protect your smile for years to come.
We create positive dental experiences for children of all ages. From check-ups to preventive care, our friendly team helps young patients build healthy habits and enjoy visiting the dentist.
Achieve a straighter, healthier smile with clear aligners or braces. We provide Invisalign, Spark, and other orthodontic options designed for comfort, convenience, and lasting results.
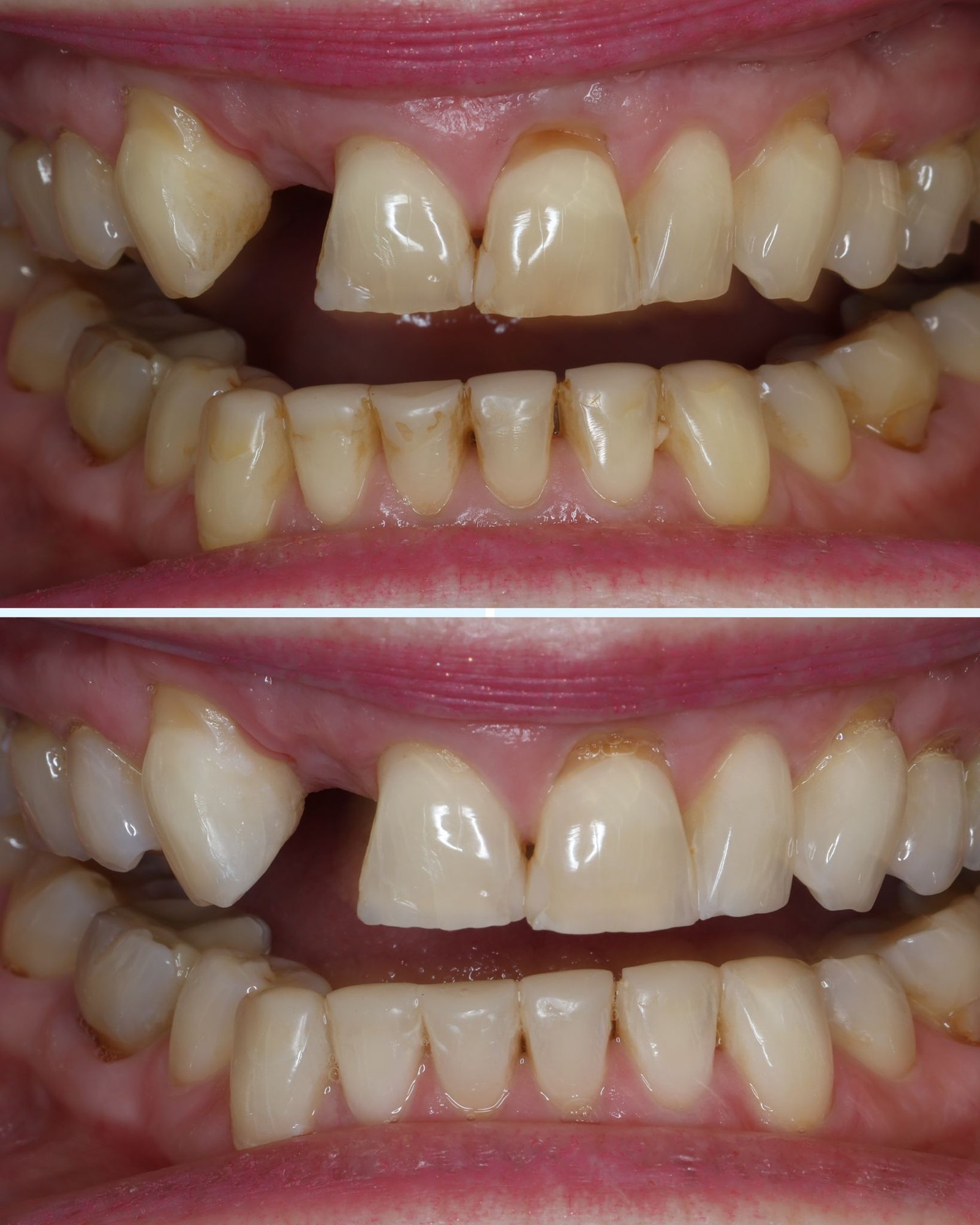
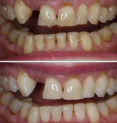
Enhance your smile with tailored cosmetic treatments. Our cosmetic dentist offers teeth whitening, veneers, and smile makeovers to improve both appearance and confidence with natural-looking results.

Every treatment plan is tailored to your smile goals and oral health needs.

We use the latest dental equipment to ensure accurate, comfortable treatments.

We are a trusted dentist in Mosman, providing quality care for local families.

All general, cosmetic, and surgical treatments available under one roof.

Focused on preventive care and durable outcomes that protect your smile.

Known for our caring approach, honest advice, and patient satisfaction.
EXCELLENT Based on 120 reviews Posted on Andrew YunckenTrustindex verifies that the original source of the review is Google. Excellent care and servicePosted on Inni JurdTrustindex verifies that the original source of the review is Google. Great service and very nice staffPosted on Huckleberry JurdTrustindex verifies that the original source of the review is Google. Quick and excellent service from Dr.PriyaPosted on Nadia KitcherTrustindex verifies that the original source of the review is Google. Dr Priya, is amazingly patient & kind. I recommend her to anyone, especially if they have any anxiety going to dentists!Posted on Lorna BreezeTrustindex verifies that the original source of the review is Google. Excellent service.Posted on Luke KalafTrustindex verifies that the original source of the review is Google. Priya was kind and professionalPosted on Shakyla ToomeyTrustindex verifies that the original source of the review is Google. AmazingPosted on maia eriksenTrustindex verifies that the original source of the review is Google. I had white spots on my teeth and they are completely gone through the icon resin infiltration treatment. Loved that it’s completely non-invasive! Absolutely amazing results with the loveliest staff. Cannot recommend this place enough!Posted on HarryTrustindex verifies that the original source of the review is Google. Great service!






TRANSFORM YOUR SMILE TODAY
Take the first step toward a confident, lasting smile with Advanced Dental Care, Mosman. Whether you need a routine check-up or a complete smile makeover, our experienced team is here to help you achieve excellent oral health and natural results.
COMMON QUESTIONS AND THEIR ANSWERS
A general dental check-up in Mosman, At Advanced Dental Care Mosman, we provide transparent pricing and tailored treatment plans. Health fund rebates may apply, helping make regular visits more affordable for you and your family.
We offer a full range of cosmetic dental treatments, including teeth whitening, porcelain and composite veneers, resin infiltration, and clear aligners such as Invisalign and Spark. Our expert cosmetic dentist in Mosman creates personalised smile makeovers designed to enhance your confidence and overall appearance.
Yes. Advanced Dental Care Mosman offers same-day appointments for dental emergencies such as toothaches, broken fillings, swelling, or trauma. Our emergency dentist ensures quick, gentle, and effective care to relieve pain and restore your oral health as soon as possible.
Dental implants are a long-term and durable solution for missing teeth. They integrate with your jawbone to function like natural teeth. At Advanced Dental Care Mosman, we use high-quality implants designed for comfort, stability, and a natural appearance that can last many years with proper care.
Yes. We accept most major health funds, including HCF and Bupa, and can process claims on the spot. Depending on your cover, many dental services are eligible for rebates, helping reduce out-of-pocket costs for your routine and cosmetic treatments at our Mosman dental clinic.
Monday to Friday by appointment only
Monday to Friday:
9:00 am - 5:00 pm
Saturday:
9:00 am - 5:00 pm
Sunday:
10:00 am - 3:00 pm